Optik Nevrit Belirtileri, Nedenleri ve Tedavi Yöntemlerini göz hastalıkları uzmanı Prof. Dr. Fatma Yülek açıkladı.
Görme sistemimizin en önemli parçalarından biri olan optik sinir, gözden beyne görsel bilgilerin iletilmesini sağlar. Bu sinirin iltihaplanması durumu ise “optik nevrit” olarak adlandırılır. Genellikle ani görme kaybı ve göz ağrısı ile kendini belli eden bu durum, ciddi sağlık sorunlarının habercisi olabilir. Bu nedenle erken teşhis ve tedavi büyük önem taşır.

Bu yazımızda optik nevrit nedir, belirtileri nelerdir, hangi hastalıklarla ilişkili olabilir ve nasıl tedavi edilir gibi sorulara detaylı yanıtlar bulabilirsiniz.
Optik Nevrit Nedir?
Optik nevrit, göz siniri olarak bilinen optik sinirin iltihaplanmasıdır. Bu iltihaplanma, sinirin görsel bilgiyi beyne iletme yetisini zayıflatır veya tamamen durdurur. Görme kaybı, genellikle ani olarak başlar ve tek gözde ortaya çıkar; fakat bazı durumlarda her iki göz de etkilenebilir. Görme kalitesinde azalma, renkleri soluk görme ya da göz hareketlerinde ağrı gibi belirtiler söz konusu olabilir.
Optik nevrit, yalnızca göze ait bir sorun değil, aynı zamanda merkezi sinir sistemi hastalıklarının da ilk belirtisi olabilir. Bu yüzden görme ile ilgili bu tip ani değişiklikler mutlaka ciddiye alınmalıdır.

Optik Nevrit Belirtileri Nelerdir?
Optik nevrit, ani başlayan görme sorunları ile kendini belli eder. Bu belirtiler şu şekilde sıralanabilir:
- Görme Kaybı: En yaygın belirtidir. Genellikle tek taraflı ve ani geliştir. Hasta bir anda görme keskinliğinde belirgin bir azalma hisseder.
- Göz Hareketlerinde Ağrı: Gözleri sağa, sola ya da yukarı hareket ettirmek ağrılı hale gelebilir. Bu, optik sinirin iltihabı ile ilişkilidir.
- Renk Algısında Bozulma: Gözdeki görme kaybına ek olarak, renkler soluk ya da gri tonlarında algılanabilir.
- Işık Parlamaları (Fotopsi): Gözün içinde şimşek çakar gibi ani ışık parlamaları hissedilebilir.
- Görme Alanı Kaybı: Görme alanının belirli bölümlerinde kararma ya da bulanıklık olabilir.
- Pupilla Tepkisinde Azalma: Işığa karşı normalden farklı ya da gecikmeli pupilla cevabı gözlemlenebilir.

Optik Nevrit Neden Olur?
Optik nevritin tek bir nedeni yoktur; birçok farklı faktör bu duruma yol açabilir:
1. Otoimmün Hastalıklar: Multipl Skleroz (MS) başta olmak üzere bağışıklık sisteminin kendi dokularına saldırdığı hastalıklar optik sinirde iltihaplanmaya yol açabilir. MS hastalığı olan kişilerin yaklaşık %50’sinde optik nevrit görülür.
2. Enfeksiyonlar: Herpes virüsü, HIV, Lyme hastalığı, sifiliz, kedi tırmığı, toksoplazma gibi enfeksiyonlar optik sinire zarar verebilir. Bazı vakalarda öncesinde geçirilmiş bir üst solunum yolu enfeksiyonu da tetikleyici olabilir.
3. Toksinler ve İlaçlar: Alkol, metanol ya da bazı ilaçlara maruz kalmak optik sinire hasar vererek nöropatiye yol açabilir. Uzun süreli ilaç kullanımı olan kişilerde dikkatli olunmalıdır.
4. Vitamin Eksiklikleri: B12 vitamini gibi sinir sistemi için kritik olan vitaminlerin eksikliği optik sinir tahribatına neden olabilir. Bu tahribat ilerleyen dönemlerde kalıcı hale gelebilir.

Optik Nevrit Tanısı Nasıl Konur?
- Tanı için hasta hikâyesi ve detaylı göz ve nörooftalmoloji muayenesi ile başlanır. Ardından ileri görüntüleme ve laboratuvar testlerine geçilir:
- Görme Keskinliği ve Alan Testleri: Hastanın görme kapasitesi ve görme alanındaki kayıplar değerlendirilir.
- Renk Görme Testi: Renk ayrımındaki bozulmaları belirlemek için kullanılır.
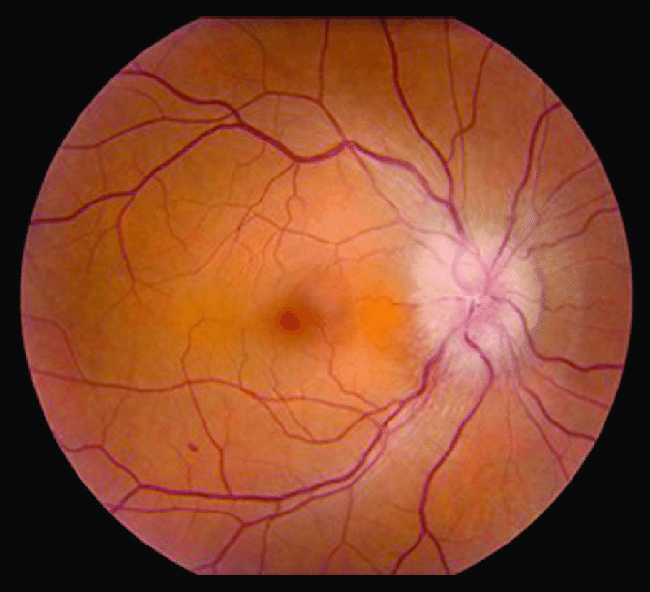
- Oftalmoskopi: Göz dibi muayenesiyle optik sinir başındaki ödem ya da solukluk gibi bulgular incelenir.
- Manyetik Rezonans Görüntüleme (MRI): Beyin ve optik sinirlerin detaylı görüntülenmesini sağlar, altta yatan MS, nöromyelit gibi hastalıkları ortaya koyabilir.
- Kan Testleri: Enfeksiyon veya otoimmün bozuklukların biyobelirteçleri olabilir.
Optik Nevrit Tedavisi Nasıl Yapılır?
Tedavi, optik nevritin nedenine bağlı olarak değişiklik gösterebilir:
- Kortikosteroidler: Yüksek doz damardan ya da ağzdan verilen kortizonlar, sinirdeki iltihabı baskılayarak hızlı iyileşme sağlar. Genellikle ilk tedavi seçeneğidir.
- Bağışıklık Baskılayıcı Tedaviler: MS gibi altta yatan kronik hastalıklar varsa uzun dönemli tedavi planlaması yapılır. Özel immünmodülatör ilaçlar kullanılabilir.
- Enfeksiyon Tedavisi: Eğer optik nevrit bir enfeksiyona bağlıysa, antibiyotik veya antiviral ilaçlar kullanılır. Erken başlanan tedavi görme kaybını azaltabilir.
- Destek Tedavileri: B12 vitamini eksikliği gibi durumlarda takviye tedavi, sinir rejenerasyonu için önemlidir. Göz sağlığını korumak için beslenme ve yaşam tarzı da gözden geçirilmelidir.
Optik Nevrit Kalıcı Hasar Bırakır mı?
Pek çok hasta tedaviyle birlikte 4-6 hafta içerisinde görmesini büyük ölçüde geri kazanır. Ancak bu her zaman tam iyileşme anlamına gelmez. Görme alanında kalıcı kayıplar ya da renk algısında bozulmalar bazı hastalarda devam edebilir. Erken tanı ve tedavi bu riskleri azaltmanın en etkili yoludur.
Nevrit Takibi ve Tedavisi
Optik nevrit gibi görme yetisini etkileyebilecek ciddi hastalıklarda doğru uzmana danışmak çok önemlidir.
Göz sağlığınız için belirtileri görmezden gelmeyin; detaylı bilgi ve randevu için göz hekiminizle iletişime geçin.
Kaynak: www.profdrfatmayulek.com





